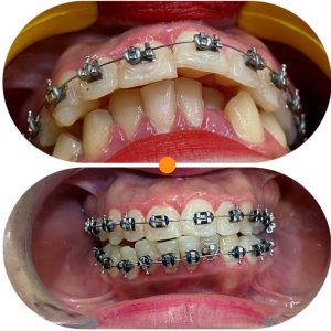
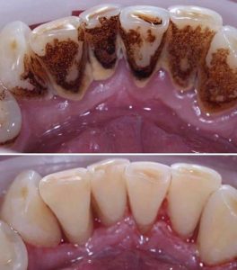
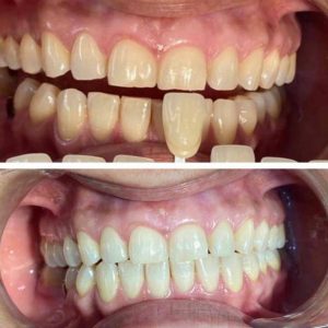
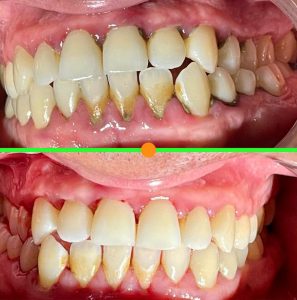
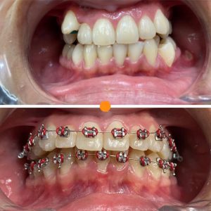
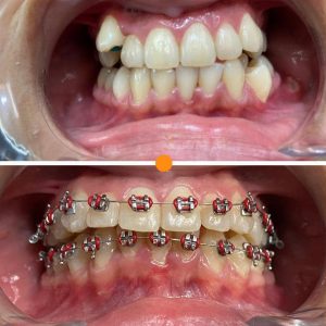
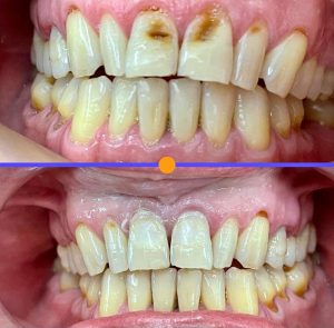
Tratamientos Ortodoncia Blanqueamiento dental Zoom Contacto 72 2795 9597 Marcar Ahora Envia whatsapp Visita nuestro facebook